Negli ultimi anni l’odontoiatria estetica ha raggiunto livelli tecnici molto elevati. Oggi possiamo controllare forma, proporzioni, colore e simmetria con una precisione che fino a poco tempo fa non era possibile.
Ma la precisione non coincide automaticamente con naturalezza.
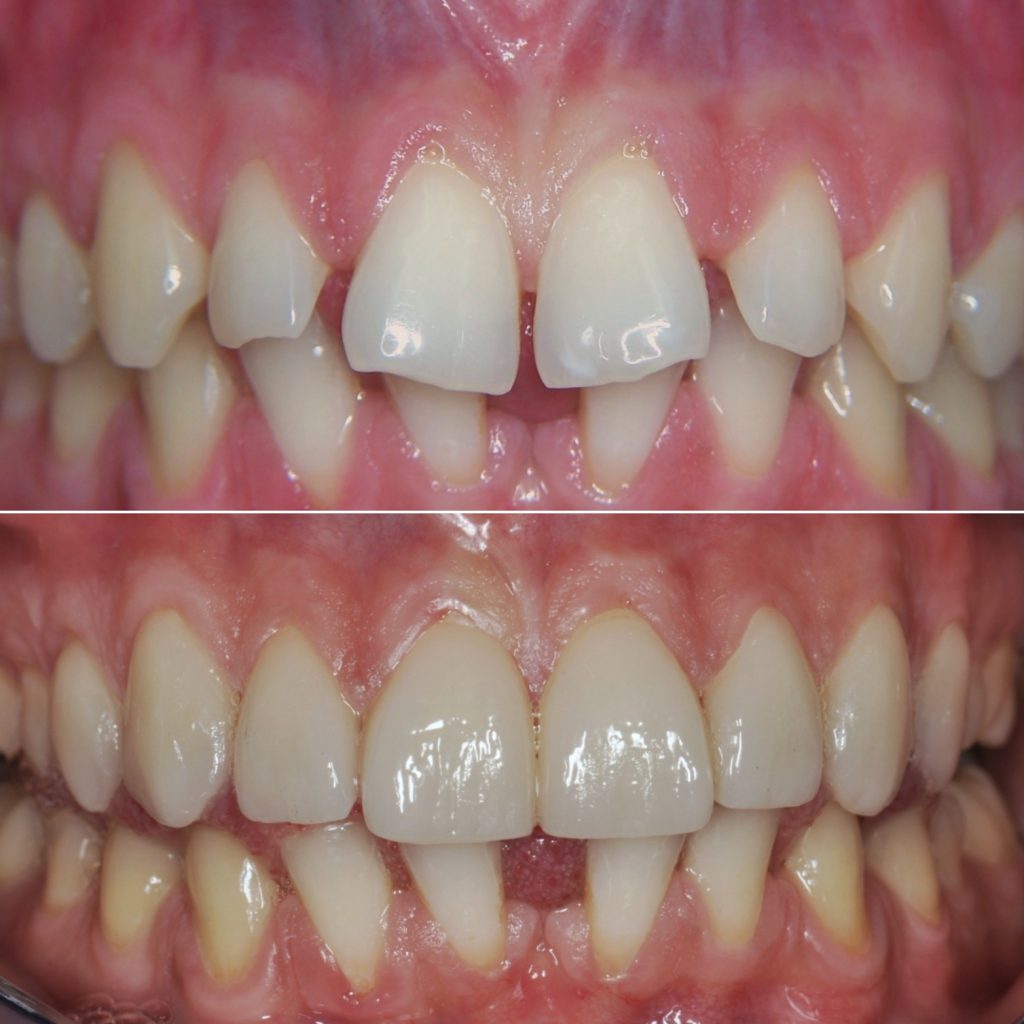
Un sorriso può essere tecnicamente impeccabile e, allo stesso tempo, risultare estraneo al volto che lo ospita.
Perché il volto umano non è un disegno geometrico. È dinamico, asimmetrico, espressivo. Cambia con il movimento, con la luce, con l’età.
Quando interveniamo dal punto di vista estetico non stiamo “costruendo” un sorriso. Stiamo integrando un restauro in un’identità.


Naturalezza non significa imperfezione, ma coerenza
Un risultato estetico naturale non è sinonimo di imperfezione casuale. È il frutto di una valutazione attenta delle proporzioni e dell’armonia complessiva del volto.
Questo significa considerare:
- proporzioni dentali
- linea del sorriso
- esposizione gengivale
- movimento labiale
- rapporto tra denti anteriori e profilo
- età biologica della persona
Significa anche accettare che una lieve asimmetria possa risultare più coerente di una simmetria perfetta.
Il volto umano non è perfettamente simmetrico. Ricercare una simmetria assoluta può generare un effetto artificiale.
Il colore: il bianco più luminoso non è sempre il più armonico
Uno degli aspetti più richiesti nell’estetica dentale riguarda il colore. Tuttavia, il bianco più luminoso non è automaticamente il più naturale. La scelta cromatica deve tenere conto di:
- tonalità della pelle
- età
- luminosità del volto
- colore degli occhi
- presenza di restauri esistenti
Un colore troppo brillante può attirare l’attenzione sul restauro anziché integrarlo nel contesto. L’obiettivo non è “far vedere” il lavoro eseguito, ma renderlo parte del volto.


Il ruolo della tecnologia nella progettazione del sorriso
La tecnologia oggi ci aiuta in modo significativo. Scanner intraorali, progettazione digitale e simulazioni tridimensionali permettono una pianificazione molto precisa.
Possiamo valutare proporzioni, studiare volumi, prevedere spessori, analizzare l’integrazione nel sorriso dinamico.
Ma questi strumenti devono essere utilizzati per calibrare, non per estremizzare. La tecnologia è uno strumento di misurazione e controllo. Non deve diventare un mezzo per standardizzare.
Ogni volto richiede un adattamento specifico.
Estetica e funzione: un equilibrio necessario
Un sorriso esteticamente armonico non può prescindere dalla funzione. Occlusione, distribuzione dei carichi e funzione muscolare influenzano la stabilità dei restauri nel tempo.
Un risultato esclusivamente estetico, se non supportato da un equilibrio funzionale, può perdere coerenza negli anni.
Per questo motivo l’estetica non è un esercizio isolato, ma parte di un progetto clinico più ampio.


Il tempo come criterio di naturalezza
C’è poi un aspetto spesso trascurato: il tempo.
Un sorriso molto “costruito” può risultare coerente in un momento specifico, ma non sempre accompagna in modo naturale l’evoluzione del volto negli anni.
Il volto cambia. La mimica si modifica. La struttura dei tessuti evolve.
Un’estetica eccessivamente rigida può perdere armonia con il passare del tempo. Per questo motivo l’obiettivo non è creare un effetto immediato, ma costruire un risultato che rimanga proporzionato nel tempo.
Integrare, non trasformare
L’estetica che ricerchiamo non è quella che si impone, ma quella che si integra. Non è quella che si nota a distanza, ma quella che appare autentica nel dialogo quotidiano.
Un restauro ben integrato non dovrebbe attirare l’attenzione su di sé. Dovrebbe diventare parte del volto.
Un sorriso riuscito non è quello che sembra perfetto.
È quello che sembra tuo.

Valutare un intervento estetico
Se stai valutando un intervento estetico, la domanda non è quanto possa migliorare il sorriso, ma quanto possa integrarsi nel tuo volto.
Un confronto clinico approfondito è sempre il primo passo per comprenderlo.
