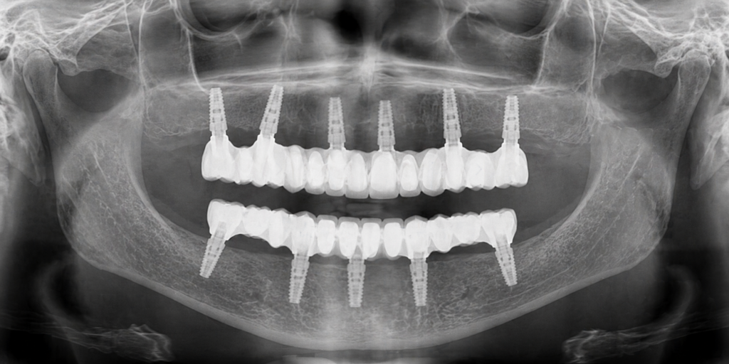
Cosa significa riabilitazione fissa totale su impianti
Gli impianti sono strutture in titanio inserite nell’osso che sostituiscono le radici dei denti.
Su questi impianti viene poi costruita una protesi fissa, che non si rimuove e che permette di recuperare funzione ed equilibrio.
La riabilitazione fissa di un’intera arcata non è una soluzione “standard”. La progettazione dipende da vari fattori:
- storia clinica del pazienteiche diverse e richiede scelte diverse
- quantità e qualità dell’osso
- posizione degli impianti possibili
- condizioni generali della bocca


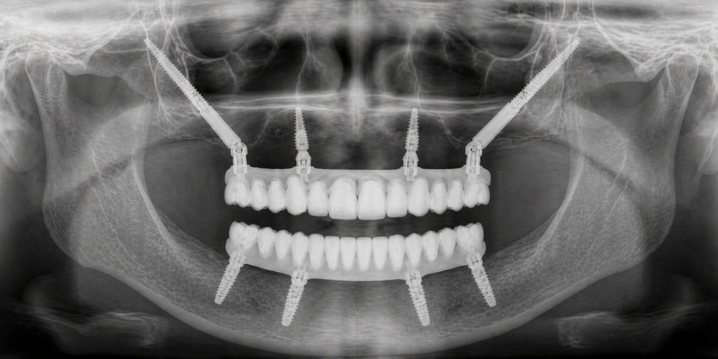
Perché a volte gli impianti sono inclinati
Non sempre l’osso è presente nelle zone ideali.
In alcune aree si riassorbe nel tempo, soprattutto dopo la perdita dei denti. Per questo motivo, in alcuni casi, gli impianti vengono inseriti con un’inclinazione specifica.
Non è una scelta casuale: serve per utilizzare al meglio l’osso disponibile, distribuire in modo equilibrato il carico masticatorio ed evitare, quando possibile, interventi più invasivi.
4 impianti o 6 impianti?
Il numero degli impianti non è una scelta commerciale. È una decisione clinica.
In alcune situazioni 4 impianti possono essere sufficienti per sostenere una protesi completa, in altre 6 impianti permettono una distribuzione più ampia dei carichi e una maggiore stabilità nel tempo.
La differenza non riguarda solo “quanti impianti”,
ma come la forza della masticazione viene gestita negli anni.


Cosa sono gli impianti zigomatici
Quando l’osso nella mascella superiore è molto ridotto,
gli impianti tradizionali potrebbero non essere sufficienti.
In questi casi esistono soluzioni più complesse, come gli impianti zigomatici. Sono impianti più lunghi, ancorati a un osso diverso (lo zigomo), che permettono di costruire una base stabile anche in condizioni ossee critiche.
Non sono indicati per tutti i pazienti, ma rappresentano una possibilità in situazioni selezionate.
Il carico immediato: quando si può fare davvero
Spesso si parla di denti fissi “in un giorno”.
Nella pratica clinica, il carico immediato significa questo: gli impianti vengono inseriti e, entro poche ore o entro 24 ore, viene applicata una protesi provvisoria.
Nel nostro approccio, questa protesi è stabilizzata su una struttura in titanio.
Generalmente preferiamo il carico immediato nelle nostre riabilitazioni implantari, tuttavia non è una scelta automatica.
Il carico immediato è possibile solo quando:
- gli impianti hanno una stabilità adeguata
- l’osso lo consente
- le condizioni generali sono favorevoli
Quando queste condizioni non sono presenti,
è più corretto attendere. Forzare i tempi non migliora il risultato.


Perché non si mette subito la protesi definitiva
Una delle scelte meno visibili, ma più importanti, riguarda il tempo.
Dopo l’inserimento degli impianti:
- l’osso deve integrarsi
- i tessuti devono stabilizzarsi
- la funzione deve essere osservata
Per questo motivo si utilizza una protesi provvisoria che serve a:
- accompagnare la guarigione
- verificare estetica e funzione
- adattare la forma alla persona
Solo dopo questa fase si realizza la protesi definitiva. La protesi provvisoria non è un passaggio in più. È una fase che permette armonizzare e proteggere il risultato nel tempo.
La manutenzione nel tempo
Una riabilitazione su impianti non è “finita” quando viene consegnata la protesi. Richiede manutenzione periodica regolare.
Nel concreto questo significa:
- igiene orale quotidiana corretta
- controlli periodici
- sedute di igiene professionale
In alcuni casi, la struttura protesica viene temporaneamente rimossa durante le sedute di igiene dentale per permettere una pulizia più approfondita.
È parte integrante della terapia. Da questa fase dipende la stabilità nel tempo della riabilitazione.


