Quando la biologia incontra la tecnologia
La possibilità di applicare i denti subito dipende dalla stabilità primaria dell’impianto. Nello specifico, per ottenere questo risultato, utilizziamo la chirurgia guidata e la scansione digitale, che ci permettono di inserire gli impianti esattamente dove l’osso è più solido.
- Stabilità Iniziale: L’impianto deve essere accolto dall’osso con una forza tale da permettere il carico senza micro-movimenti dannosi.
- Progettazione Digitale: Grazie alla TAC 3D, sappiamo in anticipo se il tuo osso è idoneo, riducendo le sorprese in fase di intervento.
- Funzione Controllata: La protesi immediata è studiata per bilanciare le forze masticatorie, proteggendo l’impianto durante la fase di osteointegrazione.
Questa precisione è ciò che differenzia un successo a lungo termine da un semplice risultato estetico temporaneo.


I vantaggi reali per il paziente
Scegliere il carico immediato ha un impatto profondo sulla qualità della vita durante il periodo di guarigione. In primo luogo, il paziente non deve mai utilizzare protesi mobili o rimanere senza denti, mantenendo intatta la propria vita sociale.
In aggiunta, una protesi fissa provvisoria ben progettata modella correttamente la gengiva mentre guarisce. Di conseguenza, quando arriveremo alla fase della protesi definitiva, i tessuti saranno già perfettamente adattati, garantendo un risultato estetico estremamente naturale e armonioso.
Esamina i casi clinici reali delle riabilitazioni eseguite nel nostro studio
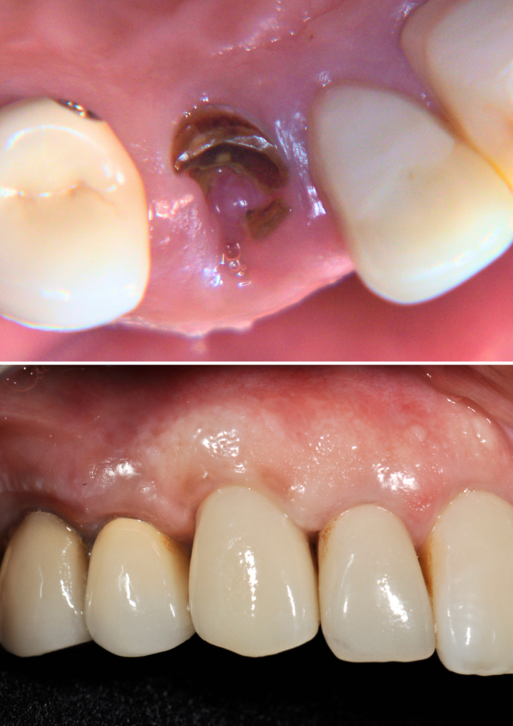
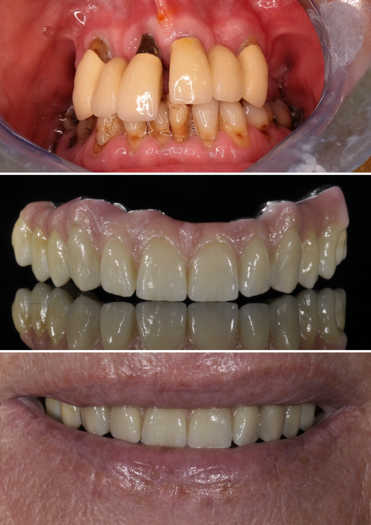
Carico Immediato su dente singolo vs Arcata completa
Esiste una differenza sostanziale tra la sostituzione di un unico dente e quella di un’intera arcata.
- Nell’arcata completa (Full-Arch): La procedura è spesso più prevedibile, poiché più impianti lavorano insieme per sostenere la protesi, distribuendo il carico in modo uniforme.
- Sul dente singolo: La cautela è maggiore, specialmente nei settori anteriori. In questo caso, il provvisorio ha spesso una funzione puramente estetica: il dente “c’è”, ma viene scaricato dalla masticazione per non interferire con la guarigione dell’osso.


Perché il provvisorio è fondamentale?
Come spiego ampiamente nel mio libro “Il Tuo Nuovo Sorriso”, il provvisorio è una fase di “test” biologico e funzionale. Pertanto, non è un ripiego, ma una guida. Ci permette di verificare che la masticazione sia corretta e che l’estetica ti soddisfi pienamente. Solo dopo che l’osso si è integrato perfettamente con l’impianto, procederemo alla realizzazione della protesi definitiva in materiali ancora più stabili e rifiniti.
Quando è meglio attendere? (Il Carico Differito)
La trasparenza è alla base del mio Metodo. Per questo motivo, se durante l’intervento rileviamo che l’osso non garantisce una stabilità primaria assoluta, preferiamo attendere alcuni mesi prima di caricare gli impianti. Infatti, la sicurezza della tua salute e la durata del tuo sorriso nel tempo vengono sempre prima della velocità.
Ad esempio, il carico differito potrebbe essere la prima scelta in questi casi:
- osso di qualità o quantità insufficiente
- scarsa stabilità primaria dell’impianto
- infezioni attive
- carichi masticatori elevati non controllabili
- abitudini come serramento o bruxismo
- condizioni sistemiche che rallentano la guarigione

Conosci meglio la filosofia del Dr. Di Croce e la sua guida ‘Il Tuo Nuovo Sorriso’ per affrontare l’implantologia senza dubbi.

