
Le aree in cui si sviluppa il nostro lavoro clinico,
all’interno di percorsi costruiti sulla valutazione e sul metodo
Nel nostro studio non esistono prestazioni isolate, ma percorsi di cura che si articolano in diversi ambiti, spesso interconnessi tra loro.
Questa pagina ha lo scopo di orientare, offrendo una panoramica delle principali aree di intervento, sempre all’interno di una valutazione clinica personalizzata.
Ambiti che dialogano tra loro
Gli ambiti di cura non sono compartimenti separati.
Ogni situazione clinica può coinvolgere più aspetti, che vengono valutati e integrati in un’unica pianificazione. Per questo motivo, l’appartenenza a un ambito non determina automaticamente una soluzione, ma aiuta a comprendere da dove partire.

Prevenzione e igiene orale
La prevenzione rappresenta la base di ogni percorso di cura.
Include igiene orale professionale, educazione alla salute orale e programmi di mantenimento personalizzati nel tempo.

Conservativa ed Endodonzia
Interventi finalizzati alla cura e al mantenimento degli elementi dentari naturali, attraverso un approccio orientato alla preservazione e alla stabilità nel tempo.

Parodontologia
Valutazione e trattamento delle patologie che interessano i tessuti di supporto del dente, con attenzione alla diagnosi precoce e al mantenimento dei risultati.

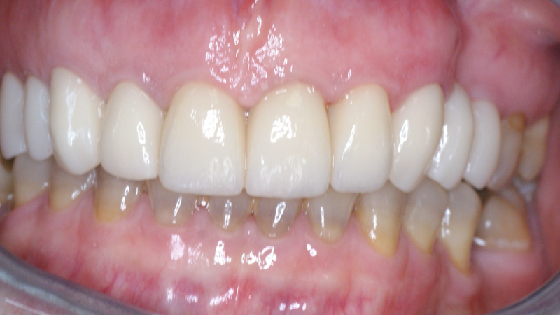
Protesi
Soluzioni protesiche fisse o rimovibili progettate per integrarsi in modo funzionale ed equilibrato, nel rispetto della situazione clinica complessiva.

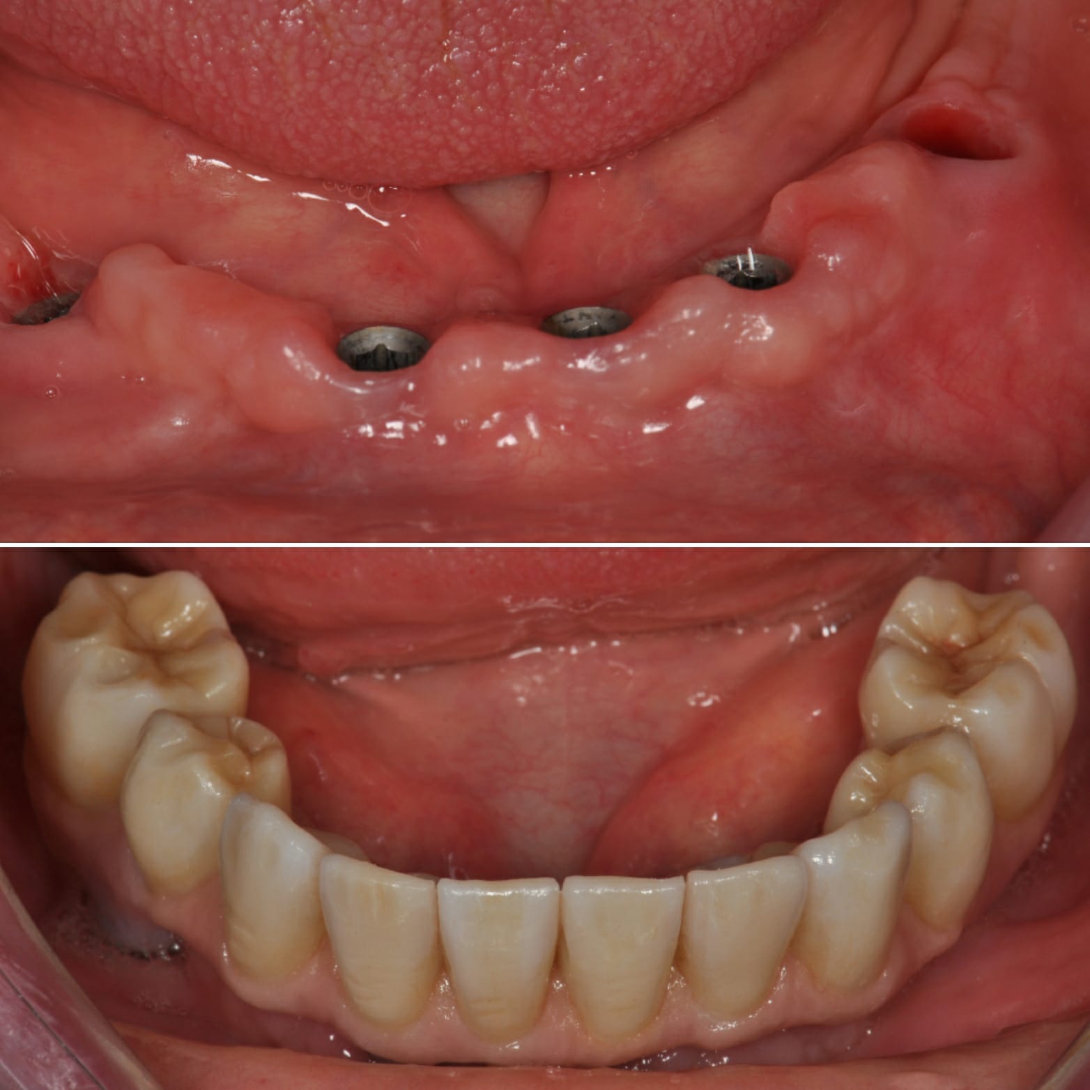
Implantologia
Inserimento di impianti dentali come parte di un percorso pianificato, in cui indicazioni, tempi e modalità vengono valutati caso per caso.

Gnatologia e funzione
Analisi e gestione dei rapporti funzionali tra denti, articolazioni e muscoli, quando indicato nel percorso di cura.
L’ambito non definisce la cura. Il Metodo sì
Individuare l’ambito di riferimento è solo un passaggio iniziale.
Ciò che guida realmente le scelte è la valutazione clinica complessiva, integrata con il criterio professionale e con le esigenze della persona.
Ogni proposta nasce dall’equilibrio tra indicazione clinica, tempi biologici e obiettivi condivisi.


Orientarsi prima di decidere
Conoscere gli ambiti di cura aiuta a orientarsi, ma ogni percorso inizia sempre da una valutazione accurata.
